歯周組織再生療法
顎骨や歯根膜を失った際の治療法です
エムドゲインについて
エムドゲインとは歯周病で失われた歯を支える骨(歯槽骨)や歯根膜などの歯周組織を再生させる治療法に使われる薬剤をいいます。
エムドゲインは世界中で使用されており安全性もしっかり確認されています。
歯が生えてくる時のような環境をつくりだし、組織の再生を促します。
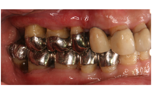
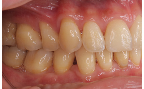
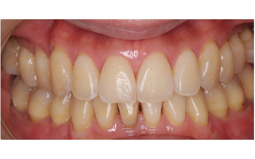
エムドゲインの症例
Before
After
エムドゲイン(再生療法)の解説
治療前は歯ぐきが赤く腫れあがり歯肉も下がっています。
歯周病治療後にエムドゲインによる再生治療を行い重度の歯周病治療が回復しました。
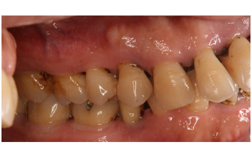
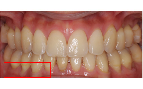
歯ぐき移植の症例(リグロス再生療法/保険適用)
Before
After
Before
After
歯ぐき移植の症例(リグロス再生療法/保険適用)の解説
矯正治療後に歯ぐきが下がってしまい、その事が原因でコンプレックスを感じていました。
再療法後は歯ぐきが元に戻り、自然になっています
治療の流れ
-
診査・診断
歯周病の検査と診断をします。
-
基本歯周病治療
歯周ポケット内の清掃や歯石の除去などの歯周病治療を行います。
-
エムドゲインゲルを塗布
歯肉を切開し歯根面を酸処理などで清掃後にエムドゲインゲルを塗布します。
-
縫合
歯肉を縫合し、治療を終了します。
重度の歯周病でお困りの方は公式サイトの予約フォームよりお問い合わせください
サイト監修医師

柳澤歯科クリニック 院長 柳澤 邦博
- スタディーグループ
-
- 日本歯科先端技術研究所
- 口腔科医を育てる会
- 歯列育形成研究会
- 所属学会等
-
- 日本歯周病学会
- 日本臨床歯周病学会
- 日本口腔インプラント学会
- 日本臨床CADCAM学会
- 日本老年歯科医学会
- 日本糖尿病協会
- 昭和大学歯学部客員講師
