歯周病は治せる病気です
歯周病は毎日の生活習慣を改善することで予防することが可能です。
当院では毎回歯磨きの講習を行う事で患者様の歯を守る方法をお教えします。
歯周病に対してのアプローチ
歯石や歯垢の除去をします。歯石があるだけでも歯周病にむかっていく原因になるので、早い段階から予防が大切です。
なるべく歯を残せるような治療をしますが、再発を防ぐためには、その患者様の協力が非常に必要です。
年をとっても自分の歯で食事ができるようにするためには、きちんとしたケアを実践しましょう。
歯周病の内科的治療
歯周病内科治療では、プラーク(歯垢)に生息する歯周病の病原菌を飲み薬により内科的に除菌します。
服用薬の他に、洗口剤や歯磨き剤も併用します。
薬は大まかに、細菌(バクテリア)用のもの、真菌(カビ・酵母など)用のもの、原虫(寄生性の真核生物)用のものがあります。
腫れや出血が短期間で改善されたり、歯周病の原因菌の数が減るので再発のリスクが低減されるなどのメリットがあります。
歯周病の外科的治療 エムドゲイン
歯周病のうち、炎症が歯肉の奥まで進行し歯周組織の破壊がひどい場合には、歯周組織を回復させるための手術が必要となります。
歯周病でお困りの方は公式サイトの予約フォームよりお問い合わせください
治療の流れ
-
歯周病の検査
歯周病の検査、レントゲン撮影、お口の撮影などの検査をします。
-
治療計画の説明
検査結果を元に歯周病のレベルに応じて治療計画の説明をします。
-
治療開始
悪化した歯周病は歯茎を切開し、中にたまっている歯石を取り除く治療をします。 それが終わると、溶けてしまった骨を再生させるために特殊な薬品を使用して歯の骨をなるべく元の状態に戻します。
-
再評価検査
再度、歯周病の検査をします。
治療期間や治療回数の目安
| 治療期間 | 治療回数 | |
|---|---|---|
| 軽症と診断された場合 | 約1ヵ月 | 数回 |
| 中重度と診断された場合 | 中度
重度 約3ヵ月 半年から1年 |
10回以上 |
歯周病でお困りの方は公式サイトの予約フォームよりお問い合わせください
歯周病と矯正治療
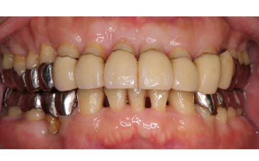
Before
After
歯周病と矯正治療
治療前は歯ぐきが下がり歯の隙間が広がりガタついていました。
歯周病治療後に矯正治療を歯並びも改善した症例です。

