歯周病・口腔外科の駆け込み寺

専門的な知識と経験豊富なドクター

難しい症例も対応可能

歯科CT Dental CT
マイクロスコープ Microscope
セレック CEREC

歯周病でお悩み・
不安な方のために

歯周病は治せます。なるべく歯を残せるような治療をしますが、再発を防ぐためには、その患者様の協力が非常に必要です。年をとっても自分の歯で食事ができるようにするためには、きちんとしたケアを実践しましょう。

来院をご検討中の方

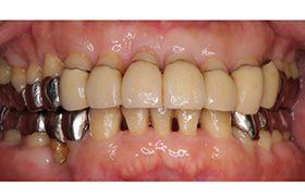
Before

After

骨隆起の除去

骨隆起は骨の塊でできた隆起になります。腫瘍ではありません。 当院では超音波の機器を使用して除去を行います。

来院をご検討中の方

Before

After

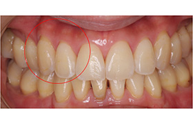
歯牙移植(歯の移植)

むし歯や歯周病で歯を失った後に、通常必要のない親知らずを、なくなった箇所に移植することによって健康な歯並びを回復する事ができます。
※移植には適合のための条件があります。

Before

After

親知らずの抜歯
(難抜歯対応可能)

大人の歯が、歯ぐきや歯槽骨の中に埋まっている状態が埋伏歯と呼ばれます。必要があれば、歯茎を切開して歯を取り出します。埋伏歯の周りの神経や血管の位置によっては、一般的な抜歯と比べはるかに高い技術が要求されます。

来院をご検討中の方

親知らずの難症のケース

治療症例

Before

After

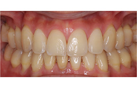
再生療法
(歯周組織再生療法)

歯周病などにより、顎骨や歯根膜を失った際の治療法です。エムドゲインは哺乳類由来のタンパク質で、歯の発生を促す作用があります。骨を失った箇所にエムドゲインを塗布することで、造骨細胞などの歯の周辺を形作る細胞群が活性化されて、顎骨およびその周辺組織が再生されます。

来院をご検討中の方

Before

After

顎関節症

歯牙接触性障害から引き起こされる病気です。顎の痛み、口が開かない、歯がしみる、虫歯や歯周病でないのに歯が痛み出すなどの症状があります。原因は歯並びや生活習慣、ストレスや頚椎の異常、筋肉の緊張などいろいろな要素がからみ合って起こっていると考えられます。

来院をご検討中の方

身体全体の健康を
診ていくことが大切

Greeting

開院当初より方針として、歯だけを診るのではなく、その人の体全体を診ていくことを心掛けています。

私自身は歯周病の認定医、インプラントの専門医であるのですが、やはり、トータルで診ていく視点が必要です。

歯周病の治療だけができていれば良いわけではなく、歯の根の治療にも精通していなければなりませんし、被せるもの、詰めるものも、すべてに通じていなければ充分な治療は望めません。

あらゆる分野に関し、一定以上のレベルを維持・向上させていくことを常に心掛けています。

  • ドクターズファイル
  • 東京ドクターズ